中華黃頁網路電話簿
見證者:黃O傑

  Before   Before   Before   After

見證者:陳O菁

  Before   Before   After   After

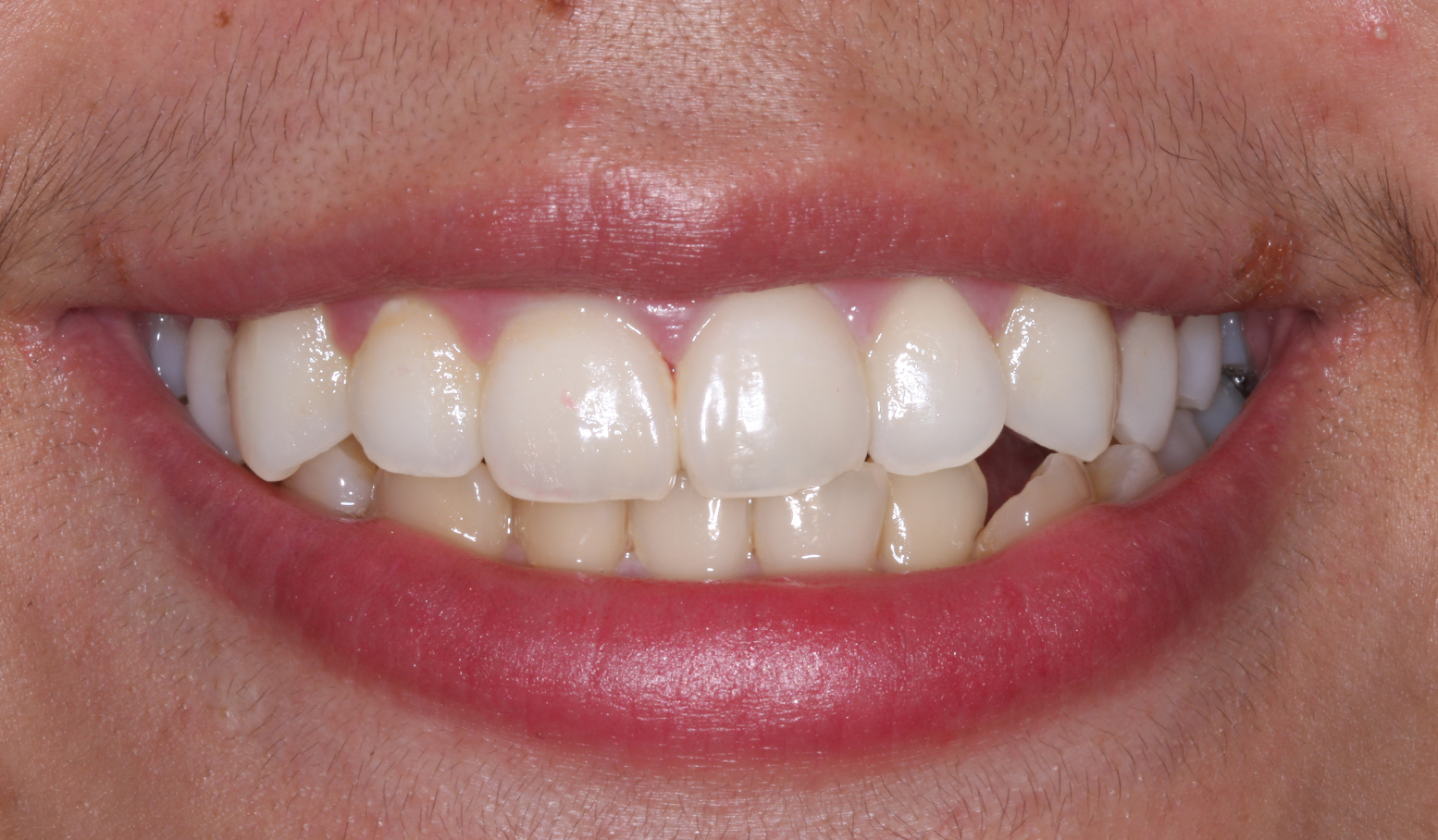
見證者:林O恩

  Before   Before   After   After

見證者:周O真

  Before   Before   After   After

見證者:杜O明

  Before   Before   After   After

見證者:王O媜

  Before   Before   After   After

Opalescence®PF

Opalescence®Whitening Toothpaste高效氟亮白牙膏 UUL401 高效氟亮白牙膏 1 X 4.7oz tubes ( 12條/盒) UUL402 高效氟亮白牙膏 1 X 1.0oz tubes ( 24條/盒)     產品特色 含專利亮白因子、高效氟及木醣醇的強化琺瑯質配方,能溫和的讓您達到美白效 果的同時,還可以強化琺瑯質的健康。     產品內容物 UUL401 高效氟亮白牙膏 1 X 4.7oz tubes ( 12條/盒) UUL402 高效氟亮白牙膏 1 X 1.0oz tubes ( 24條/盒)

Opalescence®Whitening

Opalescence® Whitening Sensitivity Toothpaste 脫敏亮白牙膏 UUL3470 脫敏亮白牙膏 1 X 4.7oz tubes ( 12條/盒) UUL3472 脫敏亮白牙膏 1 X 1.0oz tubes ( 24條/盒)     產品特色 含PF脫敏配方,不含十二烷基硫酸鈉(SLS)成分,不刺激牙齦,採用專利亮白因 子、高效氟及木醣醇的強化琺瑯質配方,能溫和的讓您達到美白效果的同時,還可以強化琺瑯質的健康。     產品內容物 UUL401 高效氟亮白牙膏 1 X 4.7oz tubes ( 12條/盒) UUL402 高效氟亮白牙膏 1 X 1.0oz tubes ( 24條/盒)

牙齒美白見證

杜O明     周O真     黃O傑

Opalescence

Opalescence® GO 預製型牙托美白劑專業療程居家牙齒美白凝膠-補充包 UUL4639-EU 預製型牙托美白劑 薄荷口味 ( 10入/盒 ) UUL3593-EU 預製型牙托美白劑 哈密瓜口味 ( 10入/盒 )     產品特色 唯一含有硝酸鉀+氟(PF)的牙齒美白劑     產品內容物 10 x Mini Kits (10 upper/10 lower trays per kit)     核發許可證 衛部粧輸字第021840號

Opalescence

Opalescence®  PF Refill Pack 專業療程居家牙齒美白凝膠-補充包 UUL5399 15%PF      牙齒美白劑-醫師組 ( 40支/組 ) UUL5396 10%PF      牙齒美白劑-醫師組 ( 40支/組 )     產品特色 唯一含有硝酸鉀+氟(PF)的牙齒美白劑     產品內容物 40 x 1.2ml Opalescence PF 15% syringes 1 x Shade guide card     核發許可證 衛署粧輸字第014222號 衛署粧輸字第014223號

Opalescence

Opalescence® PF Tooth Whiten Systems 專業療程居家牙齒美白凝膠-醫師組 UUL5384 15%PF      牙齒美白劑-醫師組       ( 8支/組 ) UUL5381 10%PF      牙齒美白劑-醫師組       ( 8支/組 ) Opalescence® PF Tooth Whiten Systems 專業療程居家牙齒美白凝膠-居家組 UUL5369 15%PF      牙齒美白劑-居家組       ( 8支/組 ) UUL5366 10%PF      牙齒美白劑-居家組       ( 8支/組 )     產品特色 唯一含有硝酸鉀+氟(PF)的牙齒美白劑     產品內容物 醫師組內容物: 8支-1.2ml美白劑      2片-牙托成型片                     1本-說明書 1條-美白小牙膏        1支-1.2ml牙托間隙樹脂       1個-整理包 1個-牙托放置盒   居家組內容物: 8支-1.2ml美白劑      1本-說明書      1個-牙托放置盒 1條-美白小牙膏        1個-整理包    核發許可證 衛署粧輸字第014222號 衛署粧輸字第014223號