中華黃頁網路電話簿
Anti-Tn

Therapeutic biologics   Biologics targeted at Tn for cancer immunotherapy   Development of successful biologics against glycotopes for immunotherapy remains a major challenge. We have successfully developed a novel carrier protein for glycotopes based on the concept of antigen clustering and specific stimulation of T helper cells to mount strong antibody response to glycotopes. The bipartite carrier protein consists of a tandem repeat of a cysteine-rich peptide for docking of clustered glycotopes to effectively activate B cells and an Fc domain for antigen delivery to antigen presenting cells (APCs). To demonstrate its utility, we conjugated the tumor-specific monosaccharide antigen Tn to this novel carrier protein and successfully developed an anti-Tn biologics for immunotherapy against cancer in animal models. The anti-Tn biologics effectively elicited high-titer IgG1 antibodies against Tn in immunized mice, and effectively suppressed the development of prostate cancer in Transgenic Adenocarcinoma of the Mouse Prostate (TRAMP) mice. Our results suggest that this novel bipartite carrier protein could be effectively used for developing anti-glycotope biologics such as the anti-Tn biologics for cancer immunotherapy.  Taivital Biopharmaceutical Co. LTD. has successfully developed a novel synthetic bipartite carrier protein (Mr = 34 kDa) which contains the IgG Fc domain (referred to as IFD) for aiding uptake/presentation by APCs and a tandem repeated cysteine-rich peptide (referred to as the antigen clustering domain or ACD) for Tn docking. It has been demonstrated that such a bipartite carrier protein is highly effective in inducing high affinity and high specificity IgG1 antibody against Tn. Our results suggest the general applicability of using this bipartite carrier protein for developing glycotope-based biologics for disease immunotherapy.   The Tn vaccine reported here is highly effective in preventing the development prostate cancer in the TRAMP mouse model (Fig. 4). It also prolonged the survival of TRAMP mice and essentially eliminated metastasis in the liver and kidney. These results suggest the potential use of the anti-Tn biologics for immunotherapy for cancer prevention and treatment in the future.  Reference: Chiang H.-L., Lin, C.-Y., Jan, F.-D., Lin, Y.-S., Chia-Tse Hsu, C.-T., Jacqueline Whang-Peng, J., Liu, L. F., Nieh, S., Chun-Cheng Lin, C.-C., Hwang, J. A novel synthetic bipartite carrier protein for developing glycotope-based vaccines. Vaccine 2012: 30, 7573-7581.

Anti-CETP

A biologics targeted at CETP alleviates high fat and high cholesterol diet-induced atherosclerosis and non-alcoholic steatohepatitis (NASH) in rabbit.   Low HDL-C levels are associated with atherosclerosis and non-alcoholic steatohepatitis, and increased levels may reduce the risk of these diseases. Inhibition of cholesteryl ester transfer protein (CETP) activity is considered a promising strategy for increasing HDL-C levels. Since CETP is a self-antigen with low immunogenicity, Taivital Biopharmaceutical Co. LTD. have successfully developed a novel anti-CETP biologics (Fc-CETP6) to overcome the low immunogenicity of CETP and for long-term inhibition of CETP activity. The anti-CETP biologics consists of a rabbit IgG Fc domain for antigen delivery to antigen-presenting cells fused to a linear array of 6 repeats of a CETP epitope to efficiently activate B cells. Rabbits were fed a high fat/cholesterol (HFC) diet to induce atherosclerosis and NASH, and immunized with Fc-CETP6 anti-CETP biologics. The Fc-CETP6 anti-CETP biologics successfully elicited anti-CETP antibodies and lowered plasma CETP activity. The levels of plasma HDL-C and ApoA-I were higher, and plasma ox-LDL lower, in the Fc-CETP6-immunized rabbits as compared to the unimmunized HFC diet-fed rabbits. Pathological analyses revealed less lipid accumulation and inflammation in the aorta and liver of the Fc-CETP6-immunized rabbits. These results show that the Fc-CETP6 anti-CETP biologics efficiently elicited antibodies against CETP and reduced susceptibility to both atherosclerosis and steatohepatitis induced by the HFC diet. Our findings suggest that the Fc-CETP6 anti-CETP biologics may improve atherosclerosis and NASH and has high potential for clinical use.  Reference:Liaw Yi-Wei, Lin Chi-Yu, Lai Yu-Sheng, Yang Tzu-Chung, Wang Chau-Jong, Whang-Peng J., Liu Leroy F, Lin Chia-Po, Nieh Shin, Lu Shao-Chun, Hwang J. A vaccine targeted at CETP alleviates high fat and high cholesterol diet-induced atherosclerosis and non-alcoholic steatohepatitis in rabbit. PLoS ONE; 2014, 9(12): e111529. doi:10.1371/journal.pone.0111529

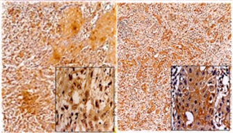
Mouse

Mouse anti-Tn antibody monoclonal antibody (Catalog # TVBP001) for cancer cell ICC and cancer tissue IHC assay.   Tn antigen antibody (N-acetyl galactosamine O-linked to serine or threonine, GalNAc-O-Ser/Thr) (Figure 1), a mucin-type O-linked glycan, is a well-established cell surface marker for tumors. Its elevated levels have been correlated with cancer progression and prognosis (1-5). Applying our mouse anti-Tn monoclonal antibody (Catalog # TVBP001) for cancer tissue IHC assay, we were able to detect a significant increase in the levels of Tn antigen in prostate cancer (6), oral squamous cell carcinoma, colon cancer (7), pancreas cancer and in ductal carcinoma in situ (DCIS) and invasive ductal carcinoma (IDC) of breast cancer, but not in normal prostate, colon and breast tissue. Examination of cervical cancer tissues demonstrated high levels of Tn in moderately to poorly differentiated tumors and low levels of Tn in well differentiated cervical cancer tissues. We also applied mouse anti-Tn monoclonal antibody (Catglog # TVBP001) for cancer cell ICC assay. As shown in figure 2, Tn is expressed on the membrane of cancer cells. References: Ju T, Otto, VI, Cummings RD. The Tn Antigen—Structural Simplicity and Biological Complexity. Angew. Chem. Int. Ed. 2011, 50, 1770-1791 Dube DH, Bertozzi CR. Glycans in cancer and inflammation-potential for therapeutics and diagnostics. Nature reviews Drug discovery. 2005; 4:477-488.. Nakagoe T, Sawai T, Tsuji T, Jibiki MA, Nanashima A, Yamaguchi H, Yasutake T, Kurosaki N, Ayabe H, Arisawa K. Preoperative serum levels of sialyl Lewis(a), sialyl Lewis(x), and sialyl Tn antigens as prognostic markers after curative resection for colorectal cancer. Cancer detection and prevention. 2001; 25:299-308.. Freire T, Bay S, von Mensdorff-Pouilly S, Osinaga E. Molecular basis of incomplete O-glycan synthesis in MCF-7 breast cancer cells: putative role of MUC6 in Tn antigen expression. Cancer research. 2005; 65:7880-7887.. Zhang S, Zhang HS, Reuter VE, Slovin SF, Scher HI, Livingston PO. Expression of potential target antigens for immunotherapy on primary and metastatic prostate cancers. Clinical cancer research : an official journal of the American Association for Cancer Research. 1998; 4:295-302.. Chiang H.-L., Lin, C.-Y., Jan, F.-D., Lin, Y.-S., Chia-Tse Hsu, C.-T., Jacqueline Whang-Peng, J., Liu, L. F., Nieh, S., Chun-Cheng Lin, C.-C., Hwang, J. A novel synthetic bipartite carrier protein for developing glycotope-based vaccines. Vaccine 2012: 30, 7573-7581.. Lin C-Y, Ho J-Y, Hsieh M-T, Chiang H-L, Chuang J-M, Whang-Peng J, Chang Y-C, Tseng Y-H, Chen S-F, Nieh S, Hwang J. Reciprocal relationship of Tn/NF-jB and sTn as an indicator of the prognosis of oral squamous cell carcinoma. Histopathology 2014: 64, 713–721.

Mouse

Mouse anti-sTn monoclonal antibody (Catalog # TVBP002) for inflammatory cell ICC and inflammatory tissue IHC assay   sTn antigen (sialyl-N-acetyl-galactosamine O-linked to serine or threonine, Sialyl-galNAc-O-Ser/Thr), a mucin-type O-linked glycan, is a well-established cell surface marker for inflammatory tissues. Its elevated levels have been correlated with inflammation   sTn is the surface marker of inflammatory cells and tissues. Applying our mouse anti-sTn monoclonal antibody (Catglog # TVBP002), we were able to detect a significant increase in the levels of sTn antigen in human gingival fibroblasts under the induction of TNF-α (30 ng/ml) for 48 hours (fig. 1). We also observed an increase of sTn in experimental periodontitis (fig. 2). Figure 1. sTn was induced in human gingival fibroblasts with TNF-a treatment (30 ng/ml) for 48 hours Figure 2. sTn was detected in experimental periodontitis using our mouse anti-sTn monoclonal antibody (Catalog # TVBP002) for inflammatory tissue IHC assay.

Mouse

Mouse anti-CETP(N) monoclonal antibody (Catalog # TVBP003) for cholesterol ester transfer protein assay.   Specificity: Mouse anti-CETP(N) monoclonal antibody against N-terminal amino acid residues 1 to 12 of human cholesterol ester transfer protein.   Antigen used for immunizations: Prokaryotic recombinant protein containing 7 copies of the N-terminal amino acid residues 1 to 12 of the cholesterol ester transfer protein in linear array was used as immunogen for immunization.   Storage Buffer: The mouse anti-CETP(N) monoclonal antibody (Catalog # TVBP003) for cholesterol ester transfer protein is kept in PBS.   Western blotting Recommended:   Working dilution for Western blotting 1:1000. Primary antibody incubate at 25℃ for 60min. Figure 1. Western blotting of human serum cholesterol ester transfer protein with mouse anti-CETP(N) monoclonal antibody (Catalog # TVBP003).   Storage and stability: Store unopened antibody at -20℃ or lower. Under these conditions, there is no significant loss in product performance up to one year from the date of purchase. The antibody is stable for at least two months when stored at 4℃. For long term storage, it is recommended that aliquots of the antibody are frozen at -20℃ (frost-free freezers are not recommended). Repeated freezing and thawing must be avoided. Prepare working dilutions on the day of use.   Legal consideration: FOR RESEARCH USE ONLY.   Application: Cholesterol ester transfer protein (CETP) is a serum enzyme involved in a variety of activities such as catalysis of the non-directional transfer of neutral lipids, mainly cholesteryl ester (CE) and triglyceride (TG), between lipoproteins in plasma. As a result, the levels of CETP may decide the profile of lipoproteins such as HDL, LDL VLDL and chylomicrons in serum. Thus, the regulation of the activities of CETP may be a promising strategy for increasing HDL-C levels and CETP may be used to a possible target to treat atherosclerotic cardiovascular disease and fatty liver.   References:   Liaw Yi-Wei, Lin Chi-Yu, Lai Yu-Sheng, Yang Tzu-Chung, Wang Chau-Jong, Whang-Peng J., Liu Leroy F, Lin Chia-Po, Nieh Shin, Lu Shao-Chun, Hwang J. A vaccine targeted at CETP alleviates high fat and high cholesterol diet-induced atherosclerosis and non-alcoholic steatohepatitis in rabbit. PLoS ONE; 2014, 9(12): e111529. doi:10.1371/journal.pone.0111529

Mouse

Mouse anti-CETP(C) monoclonal antibody (Catalog #TVBP004) for cholesterol ester transfer protein assay   Specificity: Mouse anti-CETP(C) monoclonal antibody against C-terminal amino acid residues 463 to 475 of human cholesterol ester transfer protein.   Antigen used for immunizations: Prokaryotic recombinant protein containing 7 copies of the C-terminal amino acid residues 463-475 of the cholesterol ester transfer protein in linear array.   Storage Buffer: The mouse anti-CETP(C) monoclonal antibody (Catalog #TVBP004) against human cholesterol ester transfer protein is kept in PBS.   Western blotting Recommended:   Working dilution for Western blotting 1:1000. Primary antibody incubate at 25℃ for 60min.   Figure 1. Western blotting of human serum cholesterol ester transfer protein Storage and stability: Store unopened antibody at -20℃ or lower. Under these conditions, there is no significant loss in product performance up to one year from the date of purchase. The antibody is stable for at least two months when stored at 4℃. For long term storage, it is recommended that aliquots of the antibody are frozen at -20℃ (frost-free freezers are not recommended). Repeated freezing and thawing must be avoided. Prepare working dilutions on the day of use.    Legal consideration: FOR RESEARCH USE ONLY. Application: Cholesterol ester transfer protein (CETP) is a serum enzyme involved in a variety of activities such as catalysis of the non-directional transfer of neutral lipids, mainly cholesteryl ester (CE) and triglyceride (TG), between lipoproteins in plasma. As a result, the levels of CETP may decide the profile of lipoproteins such as HDL, LDL VLDL and chylomicrons in serum. Thus, controlling the levels of CETP may be a good approach to affect the rise of HDL-C and may be a possible target to treat with atherosclerotic cardiovascular disease and fatty liver.    References: Liaw Yi-Wei, Lin Chi-Yu, Lai Yu-Sheng, Yang Tzu-Chung, Wang Chau-Jong, Whang-Peng J., Liu Leroy F, Lin Chia-Po, Nieh Shin, Lu Shao-Chun, Hwang J. A vaccine targeted at CETP alleviates high fat and high cholesterol diet-induced atherosclerosis and non-alcoholic steatohepatitis in rabbit. PLoS ONE; 2014, 9(12): e111529. doi:10.1371/journal.pone.0111529